상단 바로가기 본문 바로가기 하단 바로가기
이전

우유관련 정보

더보기
  1. 치즈 이야기
  2. 우유관련 정보

웰네스 포럼

평생 건강을 지켜주는 뼈의 역할

조회수 : 5,982


白木正孝 : 成人病診療硏究所所長

뼈에 구멍이 생기는 질병 골다공증

(骨多孔症,:osteoporosis)

골다공증은 뼈의 무기질과 단백질 감소로 골조직이 엉성해지는 증상으로 일본은「골조송증(骨粗송症)」으로 부르며 유럽은「오스테오포로시스:osteoporosis)」라고 부르는데 골다공증 즉 뼈에 구멍이 가득한 질병으로 표시한다. 등뼈 내부는 세로로 뻗은 뼈와 가로로 뻗은 뼈가「수세미」와 같은 모양을 이루고 있는데 이를 해면골(海綿骨)로 부른다.

횡격막렬공(橫隔膜裂孔)헤르니아(Hernia:탈장)

골다공증에 걸리면 어떤 증상이 나타나는가. 등뼈를 측면에서 바라보면 척추 하나 하나는 사각(四角)을 이루고 칼슘이 채워져 있는데 나이를 먹으면 내용물이 줄어든다. 그러면 체중 지탱이 불가하여 앞부분 손상으로 사각 뼈가 쐐기모양으로 된다.

등이 점점 굽어지고 키도 줄어들게 되며, 가슴과 복부체적(體積)이 서서히 감소한다. 체적이 감소하면 위(胃)가 가슴 속으로 비집고 들어가는데 이것이 횡격막렬공(橫隔膜裂孔)헤르니아 상태이다.

그러면 가슴앓이로 항상 가슴부분에 통증을 느끼게 된다. 섭취한 음식물이 쌓이고 장(腸)으로 조금씩 이동하기 때문에 음식을 조금만 먹어도 배가 금방 불러지고 또 배가 자주 고픈 버릇이 생긴다.

손발의 뼈는 어떻게 되나요?

손발의 단면을 보면 마치 꼬치모양인데 고리 안쪽이 골수이다. 우리는 가끔「뼈를 깎는 듯한 고생」이라는 말을 한다. 연필을 깎듯이 외부부터 가늘게 깎이는게 아니라 안쪽 골수부분부터 감소하기 시작한다. 지속적으로 감소하면「구멍」이 생긴 것과 같은 상태가 되면서 약해진다. 그래서 넘어지면 골절을 입게 된다.

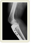
그 밖에 대퇴골부분의 골절도 자주 발생한다.

노인이 옆으로 넘어지면 발목을 부딪치고 뼈가 부러져 와병생활의 원인이 되기도 한다.

최근 대퇴골경부골절이 많이 발생하고 있다. 참고로 일본은 1980년에 25,000명 정도이던 환자가 1987년에 53,000명, 지금은 72,000명~75,000명 정도의 환자가 발생하고 있다고 한다.

대퇴골골절의 증가이유는 아직 밝혀지지 않았지만 서구화된 생활방식과 깊은 관계가 있는 것으로 생각된다. 방바닥에서의 생활보다는 침대생활이 골절의 큰 원인으로 생각된다.

신진대사와 칼슘 보충을 위해 뼈는 항상 용해되어 있다

왜 뼈는 용해 되는가?

뼈가 감소하는 이유를 자세히 알아보기로 한다.

두 가지 이유가 있다. 하나는 오래된 뼈를 새로운 뼈로 교체하기 위해서 이고 또 하나는 칼슘 섭취가 부족하면 뼈에 있는 칼슘을 용해하여 혈액으로 공급하기 때문이다.

장기간 칼슘부족이 지속되면 여기 저기에서 뼈가 용해된다. 구멍이 몇 개 발생한 단계에서 치료하면 원상태로 되돌릴 수가 있다. 그러나 더 진행되어 뼈에 띄엄띄엄 구멍이 뚫리면 원상태로 되돌릴 수가 없게 된다.

뼈는 구조역학적으로 신체를 지지하는데 뼈로서의 기능을 전혀 수행하지 못하게 된다.

뼈에는 두 가지 세포가 있다.

하나는 뼈를 용해시키는 세포로 파골세포로 부른다. 칼슘이 부족하면 이 세포가 합성하여 뼈를 용해시켜 혈액으로 칼슘을 공급한다. 또 하나는 뼈를 생성하는 조골세포이다.

뼈 감소 이유

뼈의 파괴와 형성의 균형이 무너지면 뼈가 감소한다. 특히 여성은 폐경으로 여성호르몬이 부족하면 골흡수(뼈의 용해)가 활발해지고 골형성이 부족해져 급격히 뼈가 감소한다.

남자가 여자보다 골량이 많다.

신은 여자에게는 긴 수명과 약한 뼈를 그리고 남자에게는 강한 뼈와 짧은 수명을 주었다고 한다. 여자는 골격이 작고 뼈의 절대량이 적다. 그리고 여자는 폐경이 있지만 남자는 폐경이 없다. 그래서 여자에게 골다공증이 많이 나타난다.

남자와 여자의 성 차이 이외에 유전도 큰 관계가 있고 라이프스타일과 관계가 있다. 운동이나 칼슘을 섭취하는 라이프스타일은 칼슘 저장으로 최대골량이 증가한다. 즉 노화에 대비한 저금이다.

뼈는 폐경기부터 감소를 시작한다. 폐경기에 질병에 걸리면 감소속도가 더 빨라진다. 그리고 60세 이후에는 넘어지면 뼈가 잘 부러진다.

뼈는 모순되는 2가지 역할을 수행하는 장기라는 생각이 든다. 이유는 신체 지탱기능의 완수를 위해서는 칼슘을 많이 저장하면 살이 찌게 되기 때문이다.

다른 기능은 칼슘이 부족하면 아낌없이 칼슘을 주는 기능이다. 인체의 칼슘 중 99%는 뼈와 치아에 존재하고 나머지 1%는 혈액이나 세포에 존재한다. 신체 내부는 뼈라는 튼튼한 칼슘저장고가 있지만 유감스럽게도 두 가지 기능을 양립할 수가 없다. 이와 같은 모순은 나이를 먹을수록 분명해 지는데 그것이 골다공증이다.

칼슘을 충분히 섭취하면 골량이 증가한다. 칼슘 섭취량에 따라 골량을 측정하면 골량과 상관관계를 알 수가 있다. 칼슘섭취는 골다공증의 예방적 의미가 대단히 강하다 하겠다. 조기발견 조기치료가 골절을 막는다.

골다공증 치료약

요즘 다양한 골다공증치료약이 출시되고 있다. 약은 크게 두 종류로 구분된다.

하나는 여성호르몬과 최근 출시된「비스폰산(酸)」이라는 약으로 강력히 골량을 증가시킨다. 또 하나는「비타민K와 비타민D」로 골량을 유지시키는 약이다. 모두 골절을 억제하는 약으로 골절 억제율은 여성호르몬과 비스폰산이 강한 반면 사용법이 어렵다.

예를 들어 80대 여성이 여성호르몬을 사용하면 생리가 나타나기도 한다. 치료약을 사용하면 골절발생율이 1/2 내지 1/3로 감소하는 것으로 알려져 있다.

골량을 증가시킬수록 골절발생이 감소한다.

이와 같은 치료약이 있다는 사실을 잘 이해하여 골량을 측정하고 골다공증으로 진단을 받고 즉시 치료를 시작한다면 와병생활을 하지 않을 가능성이 있다.

다시 한번 골다공증을 정리하기로 한다. 골다공증은 나이를 먹어서 발생하는 노년기 질환이다. 유감스럽게 치료약을 사용해도 어느 정도까지는 가능하지만 골절 후 완전히 원래의 몸 상태로는 회복되지 않는다.

이 병은 영양이 부족한 사람에게 일어나는 병이다

골다공증 환자는 동맥경화나 암과는 인연이 없다. 그래서 장수가 가능하다. 하지만 통증과 함께 장수를 한다.

골다공증을 원인으로 사망하지는 않지만, 그것은 일상생활에 큰 장해를 초래한다. 유감스럽게 와병생활의 예가 20% 정도 존재한다. 앞에서 언급한 바와 같이 이 병은 조기발견과 조기치료로 완치는 불가하더라도 심각한 상태로는 가지 않을 수 있는 시대에 살고 있다는 사실을 알리고자 한다.


나의 문의 내역 확인

문의하신 연락처를 입력하시기 바랍니다.

- -